Orthodontic treatment is provided by Dr. Chad. He and his staff have taken mulitiple continuing education classes specializing in orthodontics. Both Phase I and Phase II orthodontics are available at Primary Dental.
Phase 1 or early treatment occurs when the child still has a mixture of primary and permanent teeth. The age that Phase 1 treatment is usually started at is between ages 7 to 10, though ages can vary due to some patients with early and others with late erupting permanent teeth. Phase 1 treatment typically ranges from 6-18 months. There can be many orthodontic problems to address during Phase 1 treatment. Orthodontic problems consist of but are not limited to: Overbites, Underbites, Crossbites, Crowding, and Oral Habits. Most Phase I patients require a Phase II treatment in order to achieve an ideal bite.
Phase II or full treatment occurs when all of the teeth from molar to molar have erupted. Patients are generally ready for full treatment starting around 11-13 years old. This usually involves placing brackets and wire on both the upper and lower teeth. The goal of Phase II treatment is to finish aligning the teeth, create an ideal bite, and to fullfill the patients esthetic desires.
Crossbite - before and after:


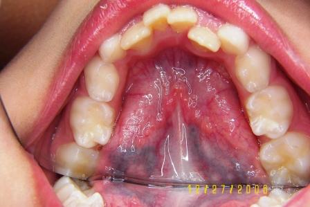
Crowding - before and after:

